ホワイトニング
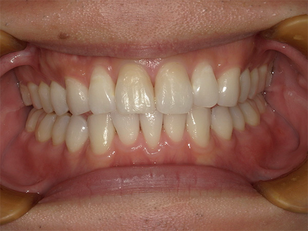
症例その7 20代男性
施術前
施術後
| 主訴 | 歯を白くしたい |
|---|---|
| 治療内容 | デュアルホワイトニング治療 (オフィスホワイトニングとホームホワイトニング) |
| 期間・治療回数 | 約3カ月 2回(術後のモニタリング含む。) |
| 費用 | 33,000円(税込) デュアルホワイトニング(オフィスホワイトニング、ホームホワイトニング) |
| 副作用・リスク | オフィスホワイトニング後、毎日2時間以上装着するホームホワイトニングを2~3か月行いました。 治療の副作用として知覚過敏が発現することがありますが。発現はしませんでした。 装着時間のルールなど守っていただかないと、治療効果を得ることができません。 歯の反応も個人差があり、効果に差があることをご承知おき下さい。 |



