電話する

地図

問い合わせ

メニュー
■■ GWの休診日のご案内 ■■
5月3日(日)~7日(木)まで
休診とさせて頂きます。
 
ヘッダーオファー

症例集

なかむら歯科医院の症例集です。

マウスピース矯正

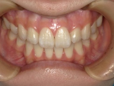
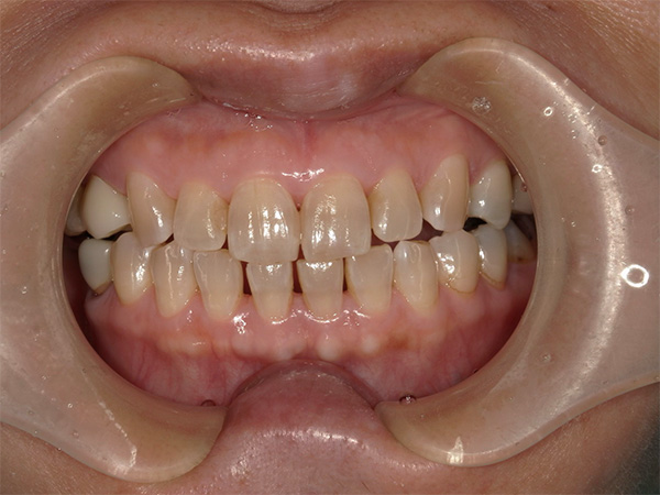
症例その1 10代女性

  • 主訴
    八重歯 歯並びが気になる

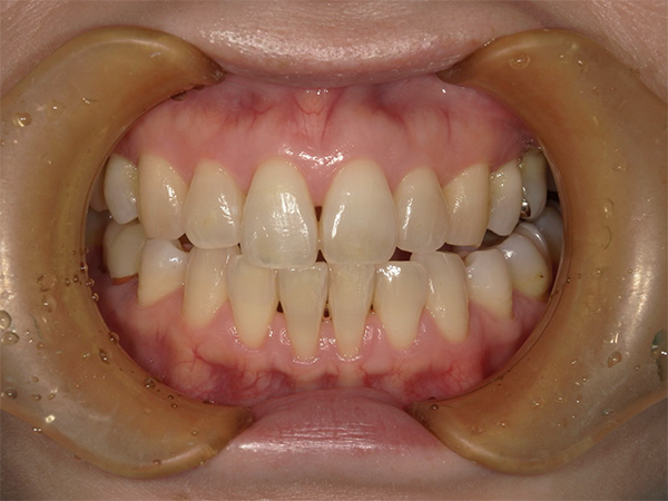
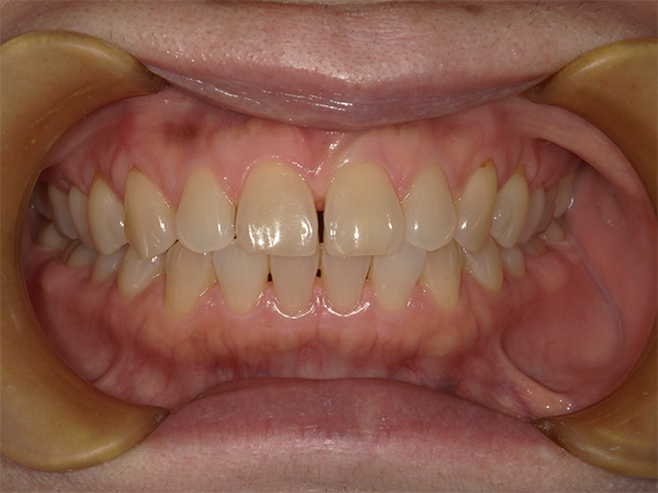
症例その2 10代女性

  • 主訴
    八重歯 歯並びが気になる

症例その3 10代女性

  • 主訴
    八重歯 歯並びが気になる

症例その4 10代女性

  • 主訴
    歯並びが気になる

症例その5 10代女性

  • 主訴
    歯並びが気になる

症例その6 40代男性

  • 主訴
    上の前歯が曲がって生えている

症例その7 50代女性

  • 主訴
    下の前歯が曲がって生えている

ホワイトニング

症例その1 20代女性

  • 主訴
    歯を白くしたい

症例その2 30代女性

  • 主訴
    歯を白くしたい

症例その3 40代女性

  • 主訴
    歯を白くしたい

症例その4 50代女性

  • 主訴
    歯を白くしたい

症例その5 60代女性

  • 主訴
    歯を白くしたい

症例その6 20代男性

  • 主訴
    歯を白くしたい

症例その7 20代男性

  • 主訴
    歯を白くしたい

症例その8 40代男性

  • 主訴
    歯を白くしたい

症例その9 50代男性

  • 主訴
    歯を白くしたい

症例その10 60代男性

  • 主訴
    歯を白くしたい

症例その11 60代男性

  • 主訴
    歯を白くしたい

インプラント

症例その1 50代男性

  • 主訴
    右下奥歯のないところを固定式で入れたい

症例その2 50代女性

  • 主訴
    左下奥歯のないところを固定式で入れたい

症例その3 60代女性

  • 主訴
    右下奥歯のないところを固定式で入れたい

診療スケジュール

当院へのお電話からの問い合わせは0774-41-3461へ

診療時間
9:00〜12:30
14:00〜18:00
/
/
▲※
▲※
日・祝
/
/
休診日 / 木曜・土曜午後・日・祝日
▲※ 土曜日 9:00〜13:00 / 14:00〜17:00
お問い合わせはこちら
なかむら歯科医院

画像のタイトル

フッターオファー
© なかむら歯科医院