ホワイトニング
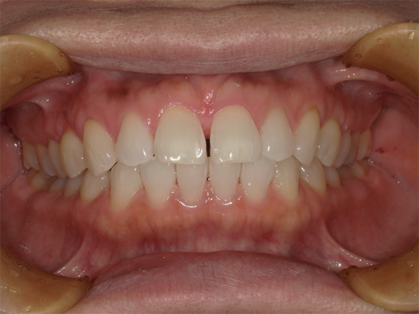
症例その5 60代女性
施術前
施術後
| 主訴 | 歯を白くしたい |
|---|---|
| 治療内容 | デュアルホワイトニング治療 (オフィスホワイトニングとホームホワイトニング) |
| 期間・治療回数 | 約6カ月 3回(術後のモニタリング含む。) |
| 費用 | 33,000円(税込) デュアルホワイトニング(オフィスホワイトニング、ホームホワイトニング) |
| 副作用・リスク | オフィスホワイトニング後、毎日2時間以上装着するホームホワイトニングを3か月行っていただきました。 希望の白さまで継続したいとのことでしたので、ホームホワイトニング治療の期間が長くなりました。 知覚過敏の時折出現したので、その時は一時中断してもらいました。 歯の反応も個人差があり、効果に差があることをご承知おき下さい。 |



