目次
噛みづらさが改善された矯正治療

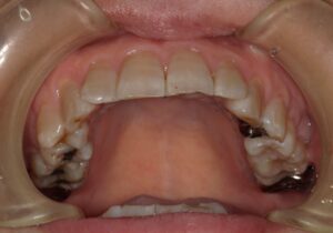
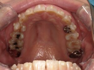
初診時54歳女性 体に不調を感じるとのことでした。夜間熟睡ができない。若い時は肩こりや頭痛もあった。左でよく噛んでいる。ということでした。口腔内を拝見すると下の前歯の真ん中が少し左にずれていました。かみ合わせた時に下の前歯は上の前歯に少し覆われるのが一般的なのですが、半分以上隠れています。歯科用語では過蓋咬合と言います。かみ合わせた時に下の前歯が上の前歯で完全に覆われている方もいらっしゃいます。下の前歯の付け根当たり、犬歯がわかりやすいかもしれません。骨がもっこりしているように見えます。かみ合わせが強い方によく見られます。骨隆起と言います。上の真ん中から3番目の犬歯が一つ後ろの歯に比べて内側に傾斜しています。
初診時
歯並びの不正も少しあります。

前歯4本が直線的に並んでいます。真ん中から2つ目と3つ目の間に段差がついているような感じです。顎が少し小さくて歯が並ぶだけの大きさになっていないようです。

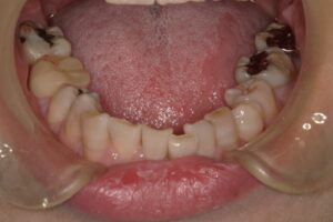
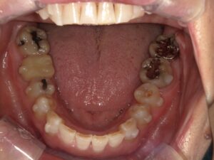
下の前歯にがたつきがあります。奥歯が内側に倒れています。向かって左の奥から3番目、4番目がわかりやすいですが、奥歯は全部そうなっています。舌が写っていますが、窮屈そうにみえます。前歯が並ばないことから顎が少し小さいこと、歯が内側に傾斜していることで、舌の置き場が狭いのです。舌は行き場をなくすと奥に行くか、下にいくしかありません。そうなると気道が狭くなります。人は呼吸しないと生きていけませんから気道を確保するために首を突き出すような姿勢をとります。姿勢が悪くなる原因となります。無理な姿勢を維持するので、適正な筋肉の使い方でなくなります。肩こり、首の凝り、腰痛など全身はつながっています。かみ合わせのズレや不正咬合から離れた部位に不具合が出現する可能性があるというのはこういうことなのです。
かみ合わせの高さが低くなるにつれ、噛む筋肉は強く作用する。
前歯のてっぺんがすり減っているのもわかると思います。本来犬歯は山のように先端が少し尖っているのですが、平らになっています。これは噛みしめてすり減っているか、歯ぎしりしていることが考えられます。たいていの方はそんなことはない、家族にも言われたことがない、など強く否定されます。でも痕跡はあります。では何故噛みしめるのでしょうか。顎は上顎が先に大きくなり、そのあとから下顎が大きくなるという成長過程をとります。上顎が適正に大きくならないと、後から成長する下顎が前への成長がブロックされます。上の前歯に下の前歯が当たってしまうと下顎は後ろに下がります。下がると気道が狭くなり、苦しいので本能的に前に出そうとします。また奥に下顎が下がるとかみ合わせの高さが低くなってしまいます。かみ合わせが低くなると筋肉は強く作用します。成長期に適正に顎が大きくなれず、その時期を過ぎて不正咬合のままであることが気道を狭くしたり、噛む筋肉を強く作用させてしまうことが噛みしめや歯ぎしりの理由ではないかと考えています。エラの張りもかみ合わせの高さが低くなって筋肉が過緊張を繰り返し、変な言い方ですが鍛えられていった結果で起こります。噛み合わせの低い方に噛み癖があります。顔の傾きや顎にズレが出ます。加齢によるすり減りだけでは根拠が薄いのです。
かみ合わせに関係していると思われる症状
歯ぎしり、食いしばり、肩こり、はこれまで話してきました。いびきについては、舌の位置が後ろにあることで気道が狭くなって、いびきをかきやすくなります。フェイスラインのたるみ(顎と首の境がわからない)は舌の位置が、不正咬合で下に落ちてしまったことで起こっています。下顎が前に成長できない状態のままであると、口回りの筋肉が後ろに引かれます。引っ張られた状態だと血液の巡りが悪くなってニキビができやすくなります。顎先のニキビや化粧のノリが悪い原因はこういったところにあるかもしれません。また口を閉じるために下唇を前に出すので、下唇周囲の筋肉を常に緊張させているので血液の巡りが良くないことが原因の一つだと思われます。
顎の関節の変形

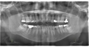
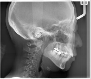
初診時のレントゲンです。一番後ろの歯のさらに奥に親指のような形のようなものが見えます。これが顎の関節です。左右一対で対照的な形を本来はしています。向かって左は丸く普通の形をしていますが、右の顎の関節の形は左に比べて小さくなっています。左のかみ合わせの高さが低くなっていることで、下顎が右の奥に押し込まれています。そのことで顎の関節が年月をかけて変形していると考えられます。顎の関節が定位置にいられないことで顎の開閉口でカクっと鳴ったり、痛みを生じます。顎関節症の原因にはいろいろな原因が考えられていますが、かみ合わせが原因とされる顎関節症のメカニクスは述べた通りです。顎の関節の後ろには血管、神経が通っています。顎の関節が後ろに押し込まれることでその部分を圧迫してしまいます。その圧迫が片頭痛の原因になっていることもあります。ほうれい線もかみ合わせの高さが低くなっている方が深くなります。左右差が出るのはこういった理由です。かみ合わせ高さを含めて改善され、下顎が本来の位置に戻ることができれば、時間はかかりますが顎関節の形は年齢に関係なく戻っていくと報告されています。
治療の経過
私が考えること以外の原因が主たる原因であれば、矯正治療で抱えてらっしゃる問題がすべては解決しませんが、改善する可能性があることをお伝えし、治療の是非を決めていただきました。改善の可能性が少しでもあるのであれば治療を進めたいとのことでした。マウスピース矯正は、マウスピースの厚みの分だけかみ合わせが高くなりますから、その分顎関節の負担も減ります。ワイヤー矯正に比べて大きな利点の一つは、顎関節を本来の位置に戻せる可能性のあることです。
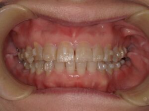
初診時

治療開始1か月
少し下の前歯が見えてきました。

治療開始約5か月
ずいぶん下の前歯が見えるようになってきました。歯の真ん中もぴったり合ってきました。下あごが向かって右にズレていたのが、マウスピース矯正を行うことで顎が元々の位置に戻ろうとしていきます。先ほど述べたようにマウスピースの厚みの分高くなることと、マウスピースを入れているので噛み合わさらないので、顎が自由に動けるのです。

治療開始約1年
少し右に顎が後戻りしています。皆さんも顎を右か左にずらしてもらうと、ずらした反対側が空いて噛まなくなります。その部分がしっかり噛めるようになるまではかみ合わせが不安定なのでこのようなこともあります。新しい環境に慣らしていくことを現在しています。(現在治療途中です。間もなく保定に入ります。)何年もかかっての今の状況になっているので、関節含めて適応するのは時間がかかります。

上顎の歯並びの変化
綺麗な連続性のあるアーチになってきました。

下顎の歯並びの変化
舌の置き場にも少しゆとりが出てきました。

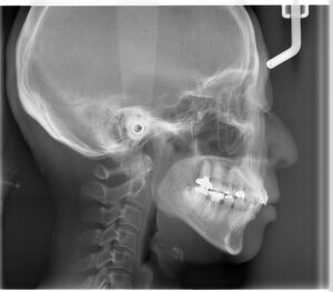
頸椎の変化


少しわかりづらいですが、頸椎の角度が治療につれ少し立ってきています。まだ本来と逆の反り方ですが、それでも姿勢が矯正治療することで改善されていることがわかります。頭の重さは5㎏あります。その重さをバランス取って背骨の上に載せています。かみ合わせがズレていると前後左右のバランスが崩れます。舌の位置が後ろや下にあると呼吸しやすくするための姿勢にズらしています。いろいろなズレを修正するのに身体は不均衡な筋肉の使い方をします。その結果が口の周りだけでなく遠く離れたところまで不具合を生じさせてしまうのです。
新しい環境に適応するのは時間がかかる

身体にとってもう少し良い顎の位置を求めながら微調整しているので、治療は終わっていません。でもゴルフでいえばグリーンに乗っているところまで進んでいます。患者さんの不具合は完全に取れていませんが、それでもずいぶん良くなってきたと言ってくださいます。他の方の参考になれば資料としてお使いくださいというご厚意に感謝いたします。
治療概要
治療目的
下顎前歯部の叢生の改善。
治療期間
18か月(現在まで)
治療回数
13回(現在まで)
治療費用
869,000円(モニタリング費用含む)
リスク・副作用
必ず身体の不調が取れるわけではありません。生体の反応には個人差があります。顎関節症状が必ず取れるということではありません。治療上のコンプライアンスを遵守していただけないと治療効果が得られません。



