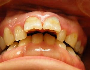
歯の破折

割れていることが原因ではないかという症状でお見えになる方が、一定数おられます。わかりやすいのは、口の中に出ている部分の一部が割れた場合です。ぶつけたとか、こけた、などの外傷、歯の薄い部分が噛み締めや硬い物を食べた時に割れたとかです。歯冠破折という状態です。割れた状態によっては神経処置をしなければならなかったり、詰め物や被せ物を治療し直さないといけません。
神経のある歯とない歯で割れる割合が異なります。
歯の破折リスクは神経が生きている歯(生活歯)と神経を取った歯(失活歯) で大きく異なります。生活歯の歯の破折の発生率は低く、特に歯根破折(骨の中に埋もれている部分を歯根と言います。)は稀で研究報告では 0.5〜2%程度とされています。一方失活歯の破折のリスクは生活歯に比べて 約3〜4倍 高いと言われています。特に垂直性の歯根破折は、失活歯に圧倒的に多く見られます。失活歯の10〜20%前後が何らかの破折に至ると報告する文献もあります。ですから歯の神経は取らない方がよいのです。
なぜ生活歯と失活歯で割れ方に差が出るのか?
神経を取ってしまうと、歯への血流が途絶え、含水量が減少します。弾力性を失い歯質が脆弱になります。折れてしまった木の枝には水分や栄養が供給されないので、乾燥して折れやすいですよね。例えるとそういう感じです。神経を取るくらいに虫歯が進行していたので、当然残っている歯の部分が少ないですよね。歯として使うために材料で補強しますが、歯と同じ硬度としなやかさを持つ材料はありません。そのため噛んだ時に力を上手く分散できず特定部分に集中する傾向にあります。生活歯に比べて失活歯は 3〜4倍破折しやすいと言われています。
歯根破折は厄介

歯冠破折は症状として自覚症状があります。口の中に出ている部分だけが破折していれば、比較的対応しやすいです。歯の根の部分が破折している場合、症状はとても多様で、しかもはっきりした症状が出にくいので対応に苦慮することも少なくありません。真っ二つにある方向から割れた場合のみレントゲン写真に写りますが、僅かな割れやヒビでは写りません。
歯根破折の症状
・ 咬合時の違和感・痛み
普段は痛まないが、噛んだ時に ピリッとした痛みや引っかかる感じがある
・歯肉の腫れ・膿
見えない割れ目から細菌が入り、局所的に歯肉が腫れたり、膿が出たりします。小さなおできみたいなものが歯茎に出来ることもあります。腫れたり治まったり、繰り返します。
・歯の動揺
歯の根の割れによって歯周組織が破壊され、歯周ポケットが深くなり、歯を支える骨が徐々に減少し歯が揺れます。
レントゲンで見ると根の周りに黒い影が出来てきます。根尖性歯周炎とは異なるレントゲン像を呈します。 骨吸収が線状・縦方向に進む像 が見えます。無症状で進行していることも多いです。虫歯や歯周病のようにはっきり映りません。状況証拠を集めて、破折なのかな、と診断することが多いです。
歯根破折をそのままにしておくのはよくない。
歯根破折を放置してしまうと、歯だけでなく周囲の組織(歯周組織や骨)にまでダメージが広がり、不利益が大きくなります。割れ目から細菌や唾液が根管内や歯周組織に侵入します。通常なら大丈夫なのですが外敵侵入のバリアが壊れるため、慢性的な炎症が起きます。その結果、歯槽骨(歯を支える骨)が吸収されていきます。進行すると歯がぐらついてくるので保存不可能、すなわち抜歯になります。抜歯すると、その部分は時間をかけて骨に代わっていきますが、破折した状態が長く続けば戻る骨の量が少なくなります。骨の欠損が大きいと骨の中に埋めこむインプラント治療が難しくなります。ブリッジや義歯でも凹みが大きくなりますからブリッジの清掃性や義歯の保持性に問題が生じます。
歯根破折の原因は何か
失活歯であることが多いのですが、どのようなことが原因として考えられるでしょうか?
噛み締め

歯ぎしりや食いしばりなど、長時間強い力が繰り返しかかることで、歯に亀裂が入り、最終的に割れてしまうことがあります。失活歯であることが多いですが、噛み締めのきつい方では生活歯でも割れてしまうことがあります。口腔内に噛みしめ癖のある方は兆候があります。診断の一助にします。そのことをお伝えしても、自分にそんなことの自覚はない、家族にも歯ぎしりなんて言われたことない、と否定される方がとても多いです。残念なのですが。
硬いものを噛む習慣
氷、ナッツ、骨付き肉、乾燥豆など硬い物が好きで、強く噛むことをされていると歯が欠けたり割れたりします。これについてはご自身がよくわかってらっしゃるので、控えていただくようにします。
咬合や歯並びの影響

受け口、開咬(前歯が噛んでいない噛み合わせ)、過蓋咬合(普通に噛むと下の前歯が1/2以上見えない噛み合わせ)など奥歯に強い力が集中する噛み合わせの方は奥歯が割れやすいです。ですからかみ合わせを治しておくことは、長く歯を維持するためにとても大切なことです。
セラミックを一番奥歯に使うとき
天然の歯より硬い材料なのでしっかり噛めます。そのことで歯の内部に負担が増して割れる場合があります。噛み締めの場合も同じですが、夜間にマウスピースなどして、奥歯に負荷がかからないようにすれば予防することができます。日中は仕事や作業されている時に噛み締めないように意識付けしてください。
歯を割らないために何が出来るか
虫歯を作らない

基本的には虫歯が進行して神経を取らないようにすることが何よりです。お話してきた通り神経を取ってしまうと歯は脆弱になり割れてしまうリスクが高まります。定期健診で虫歯のチェックをし、もしむし歯が出来たとしても早期発見早期治療で歯を削ることを最小限でとどめましょう。健診の間隔は人それぞれなので何とも言えませんが、理想を言えば3か月毎、空けても6か月以内に受診されることをお勧めします。
家でのプラークコントロール
自己流の歯磨きで歯垢がしっかり取れていれば良いのですが、私を含め磨き癖は誰にでもあります。磨き残しのある部分を認識して、歯垢の除去に努めましょう。それが一番の虫歯予防になります。時間をかけて磨いていても、効果的に磨けていなければ磨いていないのと同じです。歯磨剤の爽快感に騙されないようにしてください。当院では定期健診時に染め出し液を使って磨き残しを目で見ていただき、毎日の歯磨きに役立てていただいています。
夜間歯ぎしり用のマウスピースを使用する

歯の神経を取っている歯がある場合、夜間にマウスピースを使用していただき、歯にかかる負荷を減らすことをお勧めします。自覚症状や家族から言われたことがなくても、食いしばっていることがあります。自分の体重分の力をかけていることがあります。そりゃ割れる原因になりますよね。年齢が上がるにつれ噛み合わせの高さが低くなり噛み締めやすくなります。ミドルエイジ以上の方は取り組むとよいでしょう。保険が適用されます。
歯並び、噛み合わせの改善

特定の歯に咬合力がかかると失活歯だけでなく、生活歯も割れることがあります。口の中にある歯全体で適切な咬み合わせになるようにしておくことが大切です。受け口や出っ歯、開咬では、前歯や犬歯が本来持っている奥歯を守る機能が発揮できません。矯正治療や補綴治療で口腔内を整えましょう。
食習慣の改善
失活歯や被せ物が多い方で、硬いものを好んで食される方は要注意です。脆弱になっている歯に負荷をかけることは危険です。楽しみが無くなるとおっしゃるかもしれませんが、歯を失うリスクを考えていただくとよいでしょう。
歯にヒビ(クラック)が入ると 知覚過敏 が起きやすい

破折の前段階で、歯にヒビが入ります。同じ硬さのお茶碗を二つカンカン当て続けるとヒビが入ると思いますよね。歯も同じです。歯にヒビが入ると歯の神経まで象牙細管という微小な管を通して間接的につながります。ヒビが入ることで外部の刺激(冷たい水、甘い物、歯ブラシの摩擦など)が細管内に直接伝わり、神経に刺激として伝わり“しみる”と感じます。かなりざっくりした説明ですが、これが知覚過敏です。クラックは完全に割れていないため、噛む力がかかるたびにヒビがわずかに開閉します。噛むたびに神経を刺激します。これが噛んだ時にズキッとする痛みや冷たいものがしみるといった症状の原因になります。残念ですが、歯のヒビは完全に元に戻すことはできません。骨折のように自然に治癒してつながることはないからです。知覚過敏用の歯磨剤の使用、知覚過敏用の薬剤の塗布、夜間歯ぎしり用のマウスピース使用といった対症療法になります。



